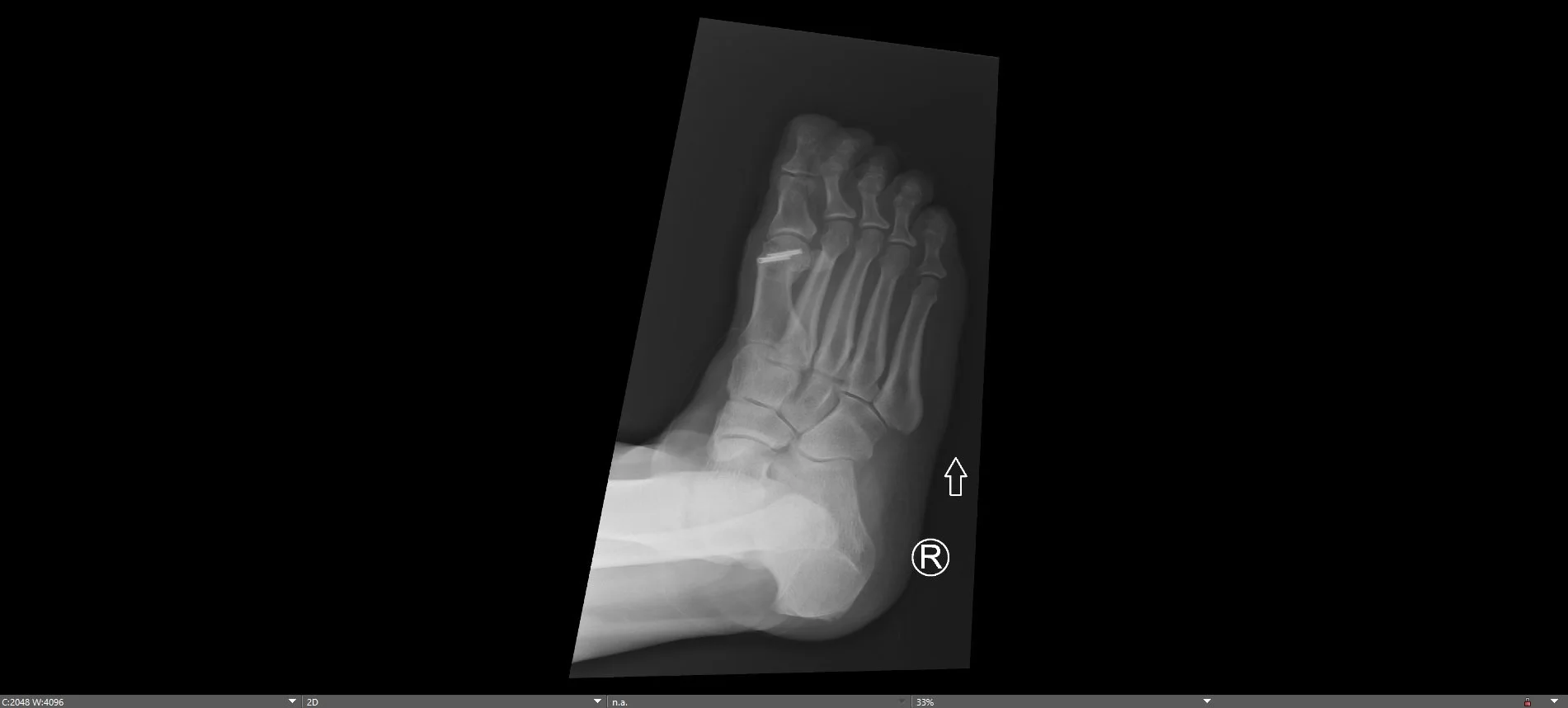
First Metatarsal Decompression Osteotomy

Pre-operative xrays demonstrating bone spurs on dorsal aspect of 1st metatarsal head along with big toe joint paint consistent with early signs of arthritis

 

Post-operative xrays demonstrating removal of bone spurs from the 1st metatarsal joint along with osteotomy to decompress the joint surface fixated with 2 headless screws